
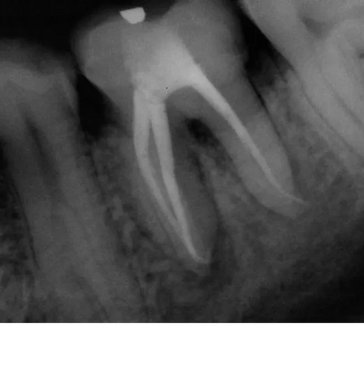
Root Canals have a great success rate . Studies Show their success rate is between 85-97 %. A properly treated and restored tooth can last a life time. Our goal is to provide you with the best and most affordable treatment. You can get a root canal and same day zirconia crown for around $1600.00 . The treatment is normally completed
Root Canals have a great success rate . Studies Show their success rate is between 85-97 %. A properly treated and restored tooth can last a life time. Our goal is to provide you with the best and most affordable treatment. You can get a root canal and same day zirconia crown for around $1600.00 . The treatment is normally completed in 1-2 appointments. It is the treatment of choice for most of our patients.

If a tooth is too badly decayed, fractured or the infection is too large, a root canal is not possible. At this point , an extraction and bone graft is required and a dental implant can be placed. Success of implants is between 90-95 % . it takes approximately 1 year from extraction , implant and final crown placement. You would ex
If a tooth is too badly decayed, fractured or the infection is too large, a root canal is not possible. At this point , an extraction and bone graft is required and a dental implant can be placed. Success of implants is between 90-95 % . it takes approximately 1 year from extraction , implant and final crown placement. You would expect for extraction, bone graft, and implant with final crown to cost between $2500 and $3000 dollars.

After an extraction if a patient does not want to place an Implant a bridge is another option. It requires the cutting of adjacent teeth but it is less expensive than a dental Implant and can normally be completed within 2 weeks. Cost is about $1800 dollars for a three unit bridge.

Dr Sprague is committed to providing you with the best treatment at the most affordable pricing. Whether it is Rootcanals, Dental Implants, or Bridges He is here to help you have an affordable pain free smile.
We use cookies to analyze website traffic and optimize your website experience. By accepting our use of cookies, your data will be aggregated with all other user data.